歡迎訪問寶雞市人民醫院官網!
79歲的賈先生遭遇嚴重車禍,全身13處重創、生命垂危時,一場跨越多學科的生死救援正式打響。歷經100天的精準救治與悉心照護,這位曾徘徊在生死邊緣的高齡患者成功康復出院,用醫學奇跡詮釋了“不拋棄、不放棄”的醫者初心。

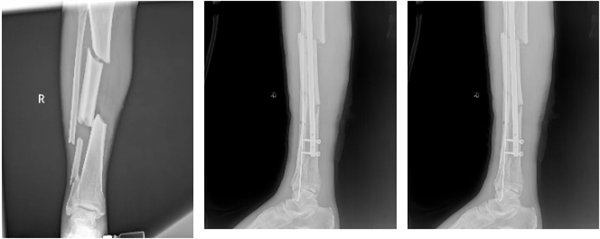
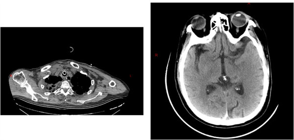
7月,賈先生因車禍導致全身多發傷急診入院,診斷結果觸目驚心:重癥肺炎、膿毒性休克、I型呼吸衰竭、右側脛腓骨下端開放性粉碎性骨折、骨盆多發骨折、左側多發肋骨骨折、創傷性硬膜下出血等13項嚴重損傷,高齡、重癥、多發傷的疊加讓救治難度陡增。重癥醫學科第一時間啟動緊急救治,抗感染、抗休克、呼吸機支持等一系列關鍵措施精準落地,為患者筑牢生命防線。待病情相對穩定后,患者轉入專科進一步治療,開啟了分階段的精準修復之路。

從7月29日的“右側脛腓骨下端開放性骨折閉合復位內固定術+外固定術”,到9月2日的“右下肢清創術+局部轉移皮瓣修復術+取皮植皮術”,再到9月29日的“右脛骨粉碎性骨折閉合復位+有限切開髓內針內固定術”,三次關鍵手術環環相扣、精準施策。術后,醫療團隊持續給予抗感染、消腫止痛、抗凝、促骨折愈合等綜合治療,護理團隊則從傷口護理、肢體功能訓練到營養支持全程精細化照護,用專業與溫暖陪伴患者度過艱難的康復期。

100天,是與死神賽跑的100天,是多學科協作攻堅的100天,更是醫患同心共抗傷病的100天。從臥床不起、生命垂危到順利出院、重獲新生,賈先生的康復不僅彰顯了現代醫學在重癥救治、創傷修復領域的精湛技術,更體現了醫療團隊“以患者為中心”的責任擔當與人文關懷。
此次成功救治,是醫院多學科協作能力、重癥救治水平與精準醫療理念的集中展現。未來,我們將繼續深耕醫學領域,錘煉過硬本領,用更精湛的技術、更優質的服務,為廣大患者的生命健康保駕護航,讓更多危重患者重獲新生!
地址:寶雞市經二路新華巷24號 電話:0917-3272497 Email:bjsrmyydb@163.com
乘坐車次: 北門:4路、5路、6路、7路、8路、9路、10路、17路、36路 南門:33路、34路、37路、42路
Copyright ? 2021 版權所有:寶雞市人民醫院 陜ICP備18007727號-2 陜公網安備 61030002000113號 技術支持:伙伴網絡