歡迎訪問寶雞市人民醫院官網!
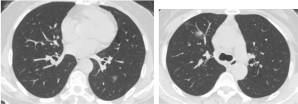
患者王先生今年58歲,近期間斷咳嗽20余天不見好轉,常常是陣發性干咳,晚上癥狀加劇夜不能寐,無其他顯著異常體征。在我院呼吸與危重癥醫學一科住院后,主管醫生安排檢查胸部CT,結果顯示:右上肺及左下肺多發斑片狀滲出,境界不清伴暈征。經主診組魏勝全主任醫師分析:患者是一位中老年男性,結合病史、影像學表現為磨玻璃結節,伴暈征,感染性病灶考慮非典型病原菌,考慮有感染支原體、結核、真菌的可能,需要進一步完善呼吸道病原學檢測、結核T細胞檢測、GM、G試驗等相關檢查來協助診治。

患者輔助檢查:呼吸道病原學檢查均陰性。結核效應T淋巴細胞計數(抗原A) 2*SFCs/2.5*10^5PBMC、結核效應T淋巴細胞計數(抗原B) 1*SFCs/2.5*10^5PBMC,真菌D葡聚糖檢測 219.99pg/mL,曲霉菌半乳甘露聚 0.508s/co。

科主任王惠霞主任醫師指示:影像學考慮肺部感染明確存在,相關炎性指標均未見明顯異常,患者有干燥綜合征病史,長期服用免疫抑制劑、影像學表現為磨玻璃結節、大小不等,形態相似,伴暈征,結核T細胞檢測陰性,暫可排除肺結核。真菌D葡聚糖檢陽性,提示真菌性感染(是曲霉?念珠菌?還是隱球菌?)同時要和肺腺癌等鑒別,進一步支氣管鏡檢查及新型隱球菌莢膜抗原檢測。在王惠霞指導下安排患者進行了支氣管鏡檢查及新型隱球菌莢膜抗原檢測,最終檢查結果顯示,新型隱球菌莢膜抗原陽性,明確為新型隱球菌肺炎。
撥云見日查出病因,在呼吸與危重癥醫學一科團隊的進行精心治療和護理下,王先生所有癥狀消失,很快康復出院了。
科普時間
什么是肺隱球菌肺炎
一、隱球菌肺炎是什么?
隱球菌肺炎是由新型隱球菌感染引起的亞急性或慢性內臟真菌病。新型隱球菌是一種在世界范圍內廣泛分布的有莢膜包繞的酵母菌,常存在于鳥糞、鼠糞、土壤、空氣、水果、蔬菜中。這種真菌一般不寄生于人體,但在特定條件下,如免疫功能低下時,可能侵入人體并引發疾病。
二、隱球菌肺炎的主要癥狀有哪些?
1. 輕度癥狀:在早期階段,隱球菌肺炎可能不引起明顯的癥狀。部分患者可能會出現低熱、咳嗽、咳痰等輕度癥狀。這些癥狀在免疫力較低的患者中更為常見。
2.重度癥狀:隨著病情的發展,隱球菌可能侵入中樞神經系統,導致患者出現咯血、高熱、氣促、呼吸衰竭、胸痛等重度癥狀。這些癥狀的出現通常意味著病情已經較為嚴重。
三、隱球菌肺炎的治療方法有哪些?
1.日常護理:患者應保持良好的生活習慣,避免食用生冷、辛辣等刺激性食物,如火鍋、烤魚、生魚片等。同時,結合身體狀態適當運動,增加自身免疫力。
2.藥物治療:患者可以在醫生的指導下使用抗真菌藥物進行治療,如氟胞嘧啶片、伏立康唑片、伊曲康唑分散片等。這些藥物能夠抑制體內病原體的繁殖,從而控制病情的發展。
3.手術治療:對于部分存在皮膚、胸部、肺部等部位病變的患者,如膿腫、肉芽腫性病變等,如果沒有侵入中樞神經系統,可以在醫生的建議下選擇局部切除的方式進行治療。
四、如何預防隱球菌肺炎?
1.避免濫用藥物:長期大量應用抗生素以及糖皮質激素可能導致機體菌群失調、抑制免疫功能,為隱球菌的感染和擴散創造條件。因此,應嚴格應用這些藥物,杜絕濫用。
2. 及時治療原發病:隱球菌多繼發于惡性腫瘤、慢性消耗性疾病和器官移植的患者。對于這些患者,一旦發生可疑隱球菌感染,應立即查清病原并及時治療。
3. 注意個人衛生:注意衛生習慣,避免食用腐爛變質的瓜果,防止鴿糞、鼠糞等污染源對環境的污染。
隱球菌肺炎雖然是一種較為嚴重的疾病,但通過合理的治療和預防,可以有效地控制病情的發展,降低死亡率。希望以上科普內容能夠幫助大家更好地了解隱球菌肺炎,并引起足夠的重視。
地址:寶雞市經二路新華巷24號 電話:0917-3272497 Email:bjsrmyydb@163.com
乘坐車次: 北門:4路、5路、6路、7路、8路、9路、10路、17路、36路 南門:33路、34路、37路、42路
Copyright ? 2021 版權所有:寶雞市人民醫院 陜ICP備18007727號-2 陜公網安備 61030002000113號 技術支持:伙伴網絡