歡迎訪問寶雞市人民醫院官網!
今年3月,趙師傅(化名)在體檢時查出前縱隔包塊,隨后于我院胸外腫瘤外科進行了“劍突下三孔胸腔鏡胸腺惡性腫瘤擴大切術+心包部分切除術”。近日,趙師傅來院復查,他激動地向當時為自己手術的醫生胸外腫瘤外科副主任吳明君和主治醫師張鵬說到,自己術后身體健康狀況越來越好,非常感謝寶雞市人民醫院胸外腫瘤外科團隊。此患者的成功治療,標志著我院在復雜縱隔腫瘤微創手術治療上又邁出了堅實的一步,為此類高風險病例提供了新的治療希望。

病例回顧
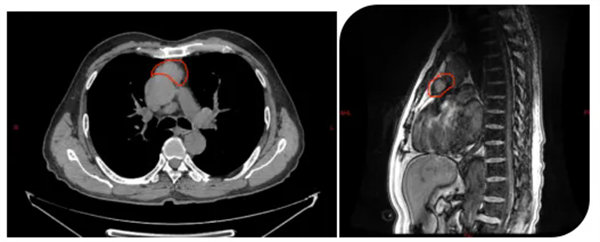
該患者體檢時胸部CT發現前上縱隔見團塊狀高密度影,范圍約3.6cmX3.2cmX24cm,鄰近心包局部凹陷,考慮胸腺瘤。胸外腫瘤外科主任陳瑜率領團隊仔細閱片并討論后確認腫瘤與心包關系緊密,進一步胸部磁共振檢查后明確心包存在侵犯,考慮侵襲胸腺瘤,手術指征明確。

由于傳統的侵襲性胸腺瘤手術方式是正中劈胸骨全胸腺切除術,手術創傷大、術后疼痛劇烈、術后活動受限、恢復慢、住院周期長。經團隊綜合分析后考慮傳統正中劈胸骨手術創傷大,風險高,術后并發癥多,遂決定行由副主任吳明君醫生攜手經驗豐富的張鵬主治醫師,行劍突下三孔胸腔鏡微創手術治療,以減少對患者的創傷及肺功能影響,加速患者術后快速康復。

在麻醉手術科陳治富主任團隊的大力支持下,術中緊密合作,精細游離病灶,在狹小的空間下(三個小戳卡孔直徑分別為2cm、0.5cm、0.5cm)小心謹慎的切除受侵犯心包(切除心包后顯露出了主動脈根部、心包內肺動脈部分、心耳等重要結構),最后在充分游離出雙側無名靜脈的前提下切除胸腺上極及兩側心包外脂肪,同時對無名靜脈及上腔靜脈旁淋巴結進行清掃,達到完整切除全胸腺的目的。術后,患者在醫護團隊的精心照料下,恢復情況良好,無并發癥發生。

臨床上一旦診斷惡性胸腺瘤,應盡早選擇手術治療。手術過程中應充分暴露前縱隔,為盡可能清除縱隔脂肪淋巴組織提供較好的術野,術中應注意保護喉返神經,應盡可能完整的切除腫瘤及其受累組織,包括部分胸膜、心包、肺、上腔靜脈及無名靜脈等,并對周圍縱隔脂肪進行清掃,不能切除者則應用銀夾標記出明確的腫瘤范圍,以利于術后的放療。手術能否完全切除胸腺瘤病灶也對患者的預后與生存率有明顯的影響。
地址:寶雞市經二路新華巷24號 電話:0917-3272497 Email:bjsrmyydb@163.com
乘坐車次: 北門:4路、5路、6路、7路、8路、9路、10路、17路、36路 南門:33路、34路、37路、42路
Copyright ? 2021 版權所有:寶雞市人民醫院 陜ICP備18007727號-2 陜公網安備 61030002000113號 技術支持:伙伴網絡