歡迎訪問寶雞市人民醫院官網!
生死考驗:獨腎藏8cm巨石,微創遇阻迎難而上
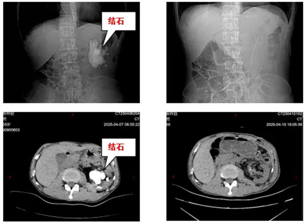
近日,寶雞市人民醫院泌尿外一科接診了一位特殊患者。張先生(化名)因持續腰痛就醫,檢查結果令人震驚:該患者只有一個腎,且唯一的左腎內竟藏有一個直徑達8cm的巨型鑄型結石,形如“鹿角”般盤踞整個腎盂系統,且質地異常堅硬,與腎盂黏膜緊密粘連。對于獨腎患者而言,這不僅關乎疼痛,更是一場生死考驗!

面對這一高難度病例,泌尿外一科團隊在張輝主任醫師、劉雙寧副主任醫師的帶領下,進行了多次深入討論。傳統微創碎石方案因效率低、殘留風險高、腎功能保護難度大而被慎重評估。最終,團隊決定迎難而上,采用開放性腎盂切開取石術,力求一次性完整清除結石,最大限度保護患者僅存的腎臟功能。“這類手術本就難度大,加上患者是獨腎,稍有不慎就可能造成腎功能不可逆損傷。”主刀醫生張輝解釋道,“我們必須確保一次性完整取出結石,同時最大限度地保護這唯一的腎臟。”
巧奪天工:“骨科神器”跨界助陣,豆腐里雕琢取石
手術中,團隊發現結石硬度遠超預期,常規泌尿外科器械難以撼動。關鍵時刻,主刀醫生張輝果斷引入骨科高速電鉆及咬骨鉗,以精準如雕刻般的手法,先在結石上鉆出受力點,再逐塊咬碎取出分支結石。“就像在豆腐里取石頭,既要取出結石,又不能碰壞豆腐。”參與手術的劉雙寧醫生形象地比喻道。

經過3小時的精細操作,醫療團隊成功完整取出所有結石分支。術后檢查顯示患者腎盂系統通暢,腎功能指標穩定。患者術后恢復順利,術后一周即康復出院。
技術創新:突破傳統,為復雜結石治療提供新思路
此次手術的成功,不僅解除了患者的痛苦,更展現了寶雞市人民醫院泌尿外一科在復雜泌尿系疾病診療中的技術實力與創新思維。面對獨腎合并巨大鑄型結石的高風險病例,團隊突破常規,巧妙融合多學科技術,為類似病例提供了寶貴的臨床經驗。科室將繼續依托先進設備與技術,為更多患者帶來優質醫療服務。
地址:寶雞市經二路新華巷24號 電話:0917-3272497 Email:bjsrmyydb@163.com
乘坐車次: 北門:4路、5路、6路、7路、8路、9路、10路、17路、36路 南門:33路、34路、37路、42路
Copyright ? 2021 版權所有:寶雞市人民醫院 陜ICP備18007727號-2 陜公網安備 61030002000113號 技術支持:伙伴網絡