歡迎訪問寶雞市人民醫院官網!

01、生死一線:后循環閉塞,生命中樞告急
后循環閉塞(椎基底動脈系統)是急性腦梗死中致死率最高的類型,死亡率高達90%,患者常因腦干、小腦缺血出現呼吸驟停、昏迷或嚴重癱瘓。隨著急診取栓技術的突破,這一“生命禁區”正被不斷改寫——發病24小時內接受取栓治療,患者90天獨立生活能力顯著提升,死亡率降低近50%。
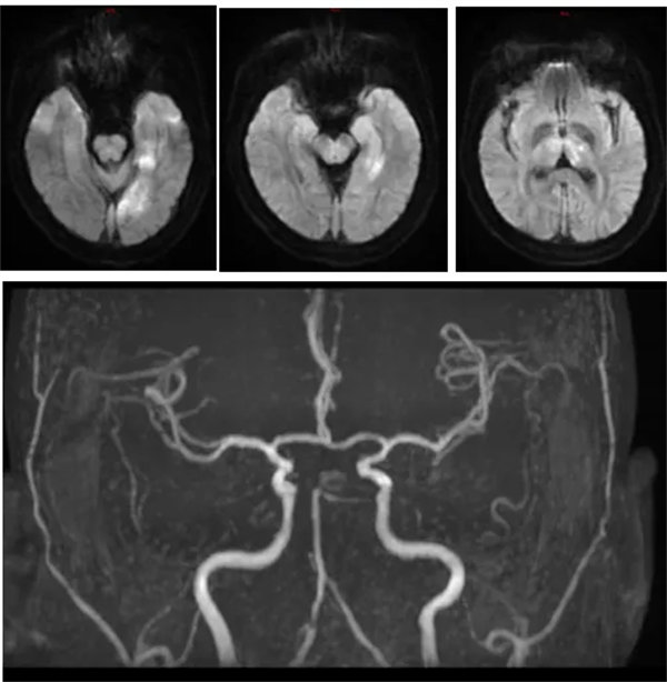
近日,42歲的張先生因突發頭暈、右手無力、視物模糊10小時,意識不清10分鐘,被家屬發現后緊急送至我院急診科,考慮腦卒中收入神經內三科進一步治療,到達科室后患者已神志不清,且伴有呼吸淺快,大小便不能自控。NIHSS評分35分,mrs評分4分;行頭顱DWI提示左側顳枕葉、左側丘腦急性腦梗死;顱腦MRA提示右側大腦后及小腦上動脈未見顯影,左側大腦后動脈P1段明顯變細,遠端閉塞。

02、精湛技藝:微創取栓,打通“生命要道”
為最大程度搶救腦細胞,縮短腦組織供血恢復間隔,神經內三科卒中救治團隊立即啟動綠色通道實施介入取栓治療,麻醉醫師迅速抵達導管室,神經內三科主任席聰對患者進行急診血管造影后發現:患者左椎動脈起始段閉塞,右椎動脈起始部次全閉塞。

時間就是大腦!在與病人家屬充分溝通后,神經內三科介入團隊對患者進行了全麻下:顱內動脈取栓術+顱內動脈球囊擴張+椎動脈擴張+椎動脈支架植入術。

術中,介入團隊精準定位血管閉塞部位,通過微導絲“探路”聯合球囊擴張技術開通右側椎動脈開口,造影椎開口殘余狹窄60%?;讋用}血栓形成,基底動脈管腔狹窄55%,基底動脈尖堵塞,右側大腦后動脈及小腦上動脈未見顯影,左側大腦后動脈P3以遠閉塞。

席聰準確鎖定患者基底動脈處血栓,采用抽吸取栓技術快速開通血管,成功取出堵塞部位2cm的血栓。再次造影示:右側大腦后及雙側小腦上動脈再通,右側大腦后動脈P3段以遠閉塞,考慮慢性閉塞,推注替羅非班,血流明顯加快。隨后采用支架植入術開通右側椎動脈開口處,術中影像顯示:支架貼壁良好,無明顯殘余狹窄,顱內血管顯影良好。


術后,患者癥狀明顯好轉,神志清楚,右手無力、視物模糊癥狀明顯改善,術后24 小時可下床活動,NIHSS評分1分,mRS評分2分。
03、重獲新生:康復良好,彰顯技術實力
該患者在復雜狀況下取栓的成功,是我院卒中中心技術實力的一次“硬核”展現。面對術中復雜狀況,神經內三科介入團隊憑借精準判斷、專業技術與密切配合,為手術成功提供了關鍵保障。
席聰主任醫師提醒,突發頭暈、言語不清、肢體無力神志意識不清等癥狀時,應高度懷疑腦卒中,需立即撥打120。及時送至具備溶栓、取栓能力的卒中中心,以爭取最佳治療時機。
地址:寶雞市經二路新華巷24號 電話:0917-3272497 Email:bjsrmyydb@163.com
乘坐車次: 北門:4路、5路、6路、7路、8路、9路、10路、17路、36路 南門:33路、34路、37路、42路
Copyright ? 2021 版權所有:寶雞市人民醫院 陜ICP備18007727號-2 陜公網安備 61030002000113號 技術支持:伙伴網絡