歡迎訪問寶雞市人民醫院官網!

三叉神經顱外段神經顯示解剖彩圖
三叉神經結向前發出三條大的分支,至內向外后,自上到下依次為眼神經、上頜神經及下頜神經。
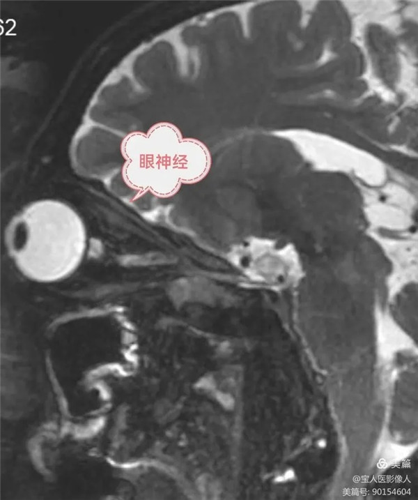
正常三叉神經顱外段分支磁共振成像技術顯示圖。

磁共振成像顯示三叉神經顱外段第一分支,眼神經
眼神經在三支中最小,一般軀體感覺纖維,經眶上裂入眶,分布于額頂部、上瞼和鼻背皮膚,以及眼球、淚腺、結膜和部分鼻腔粘膜。
(1) 淚腺神經
(2) 額神經
(3) 鼻睫神經


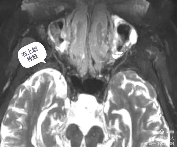
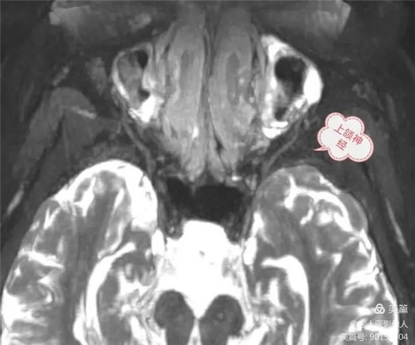
三叉神經顱外段第二分支-上頜神經
上頜神經自三叉神經節發出后,立即進入海綿竇外側壁,之后經圓孔出顱,進入翼腭窩,再經眶下裂入眶,續為眶下神經。上頜神經分支分布于上頜各牙、牙齦、上頜竇、鼻腔和口腔的粘膜以及瞼裂間的面部皮膚以及部分硬腦膜。
(1) 眶下神經為上頜神經的終支,通過眶下溝、眶下管、出眶下孔至面部,分為數支分布于下瞼、鼻翼和上唇的皮膚。
(2) 顴神經在翼腭窩內發出,經眶下裂入眶,穿眶外側壁至面部,分支分布于顴、顳部皮膚。
(3) 上牙槽神經分為上牙槽前、中、后支。后支有2~3支,在翼腭窩內自上頜神經發出后,穿上頜骨體后面進入骨質。

三叉神經顱外解剖彩圖
下頜神經是三支中最粗大的分支。自三叉神經節發出后,經卵圓孔出顱腔達顳下窩,立即分為許多支。其中特殊內臟運動纖維支配咀嚼肌。

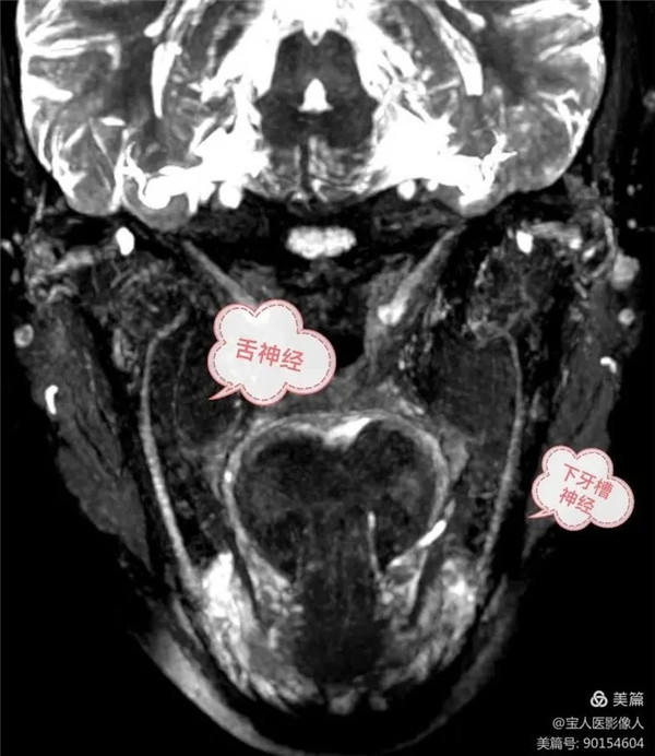
磁共振成像清晰顯示了舌神經和下牙槽神經的走形,粗細及信號
(1) 耳顳神經以兩根起始,向后包繞腦膜中動脈后合成一干,穿入腮腺實質內,與顳淺動脈伴行,向上分支布于耳廓前面和顳區皮膚以及腮腺。
(2) 頰神經沿頰肌外面前行,穿此肌后分布于頰粘膜以及頰區直至口角的皮膚。
(3) 舌神經在下牙槽神經的前方,經翼外肌深面下行,途中有面神經的鼓索從后方加入此神經。
(4) 下牙槽神經為混合神經,下牙槽神經在舌神經的后方,沿翼內肌的外側面下行,一般軀體感覺纖維經下頜孔入下頜管。在下頜管內分支構成下牙叢,分支分布于下頜各牙和牙齦。

磁共振成像側位圖,同時顯示上頜神經,下牙槽神經
三叉神經磁共振成像優勢
MRI是評估三叉神經的首選影像學方法。MR神經成像(MR neurography,MRN)具有優良的軟組織對比度和高空間分辨率,可直接顯示并用于評估三叉神經的精細形態特征,如神經纖維髓鞘脫失、再生及軸突破裂等微結構改變,神經束內部結構、信號強度變化及與鄰近占位性病變的關系等。
溫馨提示
三叉神經顱內段的磁共振成像在各大醫院常規開展。而顱外段神經由于神經細,走形迂曲與周圍組織對比度差,對技術要求高,常規磁共振檢查不能很好的顯示,目前省市各大醫院少見開展。寶雞市人民醫院醫學影像科副主任張軍暉閱讀大量國內最新文獻,不斷摸索嘗試,并首先在寶雞市人民醫院成功開展此項技術,拓寬了磁共振檢查范圍和深度,促進科室人員在神經病變的診療水平,也為臨床精準診療提供有力的影像依據。
地址:寶雞市經二路新華巷24號 電話:0917-3272497 Email:bjsrmyydb@163.com
乘坐車次: 北門:4路、5路、6路、7路、8路、9路、10路、17路、36路 南門:33路、34路、37路、42路
Copyright ? 2021 版權所有:寶雞市人民醫院 陜ICP備18007727號-2 陜公網安備 61030002000113號 技術支持:伙伴網絡