歡迎訪問寶雞市人民醫院官網!
4月前,68歲的李奶奶不慎摔傷,一顆牙齒當場被折斷,其中一部分不知其蹤,尋找后未發現牙齒“殘骸”,李奶奶并未在意。但令李奶奶疑惑的是,摔倒后她的牙齒不疼舌頭疼,而且舌頭一直處于腫痛不適狀,在當地就醫對癥用藥后一直未見好轉。
近日,李奶奶感覺舌頭的疼痛愈發難耐,日常進食都受到嚴重影響,輾轉來到市人民醫院口腔科就診。口腔醫生李少偉初診老人,詳細詢問病史,仔細查體后發現端倪,猜測老人舌背部腫脹區域應該“暗藏玄機”。
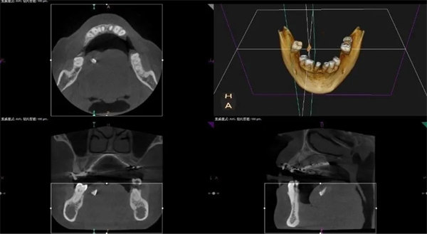
李少偉向科主任李偉匯報患者病情后,李偉再次仔細查體,認為患者舌背部有異物,立即安排口腔CBCT檢查,不出所料,影像學檢查結果顯示:舌體內存在異物,并且為患者受傷后脫落的牙齒殘片!明確病因,考慮到患者年長,為避免舟車勞頓,不容猶豫,李偉隨即決定加班為該患者進行手術。


術前CBCT檢查
午休時間,李偉主任帶領科室團隊為患者行舌異物取出術,順利取出了數月來困擾患者生活的牙齒殘片。口腔科團隊精湛的醫術,高尚的醫德醫風,得到了患者和家屬的認可。


術后CBCT檢查
醫學科普
“二次彈片傷”
口腔頜面部創傷常會伴有牙損傷。牙在受到高速彈丸、彈片打擊時會發生折斷或脫位,牙碎片向周圍組織內飛濺,造成繼發損傷這被稱為二次彈片傷,是口腔頜面部創傷的特點之一。
口腔CBCT檢查
CBCT設備作為口腔疾病輔助檢查診斷的“火眼金睛”,推動了口腔科整體診療水平的提升,為廣大患者提供了更加快速、準確、高效的診療服務。口腔CBCT是Cone beam Computed Tomography的簡稱,又稱錐形束CT。其原理是X射線發生器以較低的射線量(球管電流在10毫安左右)圍繞投照體做360°環形數字式投照,經多次數字投照后將所獲得的數據在計算機中進行重組獲得三維圖像。
地址:寶雞市經二路新華巷24號 電話:0917-3272497 Email:bjsrmyydb@163.com
乘坐車次: 北門:4路、5路、6路、7路、8路、9路、10路、17路、36路 南門:33路、34路、37路、42路
Copyright ? 2021 版權所有:寶雞市人民醫院 陜ICP備18007727號-2 陜公網安備 61030002000113號 技術支持:伙伴網絡